Scientists discovered how this fluid cleans your brain as you sleep, removing to…
[ad_1]

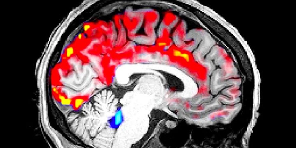
[fb_vid id=”303602297552468″]Scientists discovered how this fluid cleans your brain as you sleep, removing toxins that could cause Alzheimer’s (Via: @Seeker)
[ad_2]
źródło
